本文へスキップ

株式会社アマネセルでは、バーチャルスライドの作製を承っております。


 弊社HPはこちら
         株式会社アマネセル ホームページへのリンク

TEL. 011-641-6500

〒063-8611 北海道札幌市西区二十四軒1条7-35

製品紹介SERVICE

バーチャルスライドの特長(病理組織標本のご紹介)

組織標本サンプル(バーチャルスライド操作用)

バーチャルスライドはスライドガラス上の標本領域をスキャニングし、デジタルデータ化させた標本です。
弊社では病理診断にバーチャルスライドを利用しております。

作製したバーチャルスライドは、
・拡大・縮小の操作
・X軸・Y軸の操作

などを、画面上で自在に行うことが可能です。





複数スライド同期観察の一例  

また、
・長さや面積の計測
・注釈・スケールの挿入
・複数スライドの同期観察
・キャプチャ(jpeg形式での画像保存)

なども可能です。

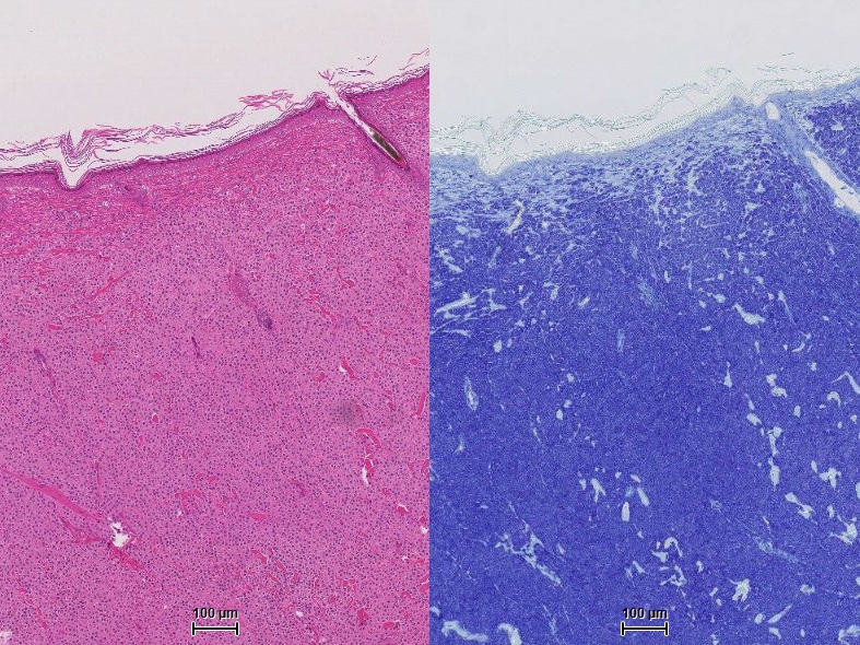
右の画像は、同一検体のHE染色標本とトルイジンブルー染色標本を同期観察し、キャプチャしたものです。
右の画像をクリックして拡大画像をご覧いただけます→

塗抹標本での多層スキャンの特長(細胞診標本のご紹介)

細胞診塗抹標本サンプル

細胞塊を含む塗抹標本をスキャンすると、細胞塊の厚みの影響でフォーカスが合わない部分が生じてきます。
そこで、ご覧になりたい細胞塊を部分的に多層でスキャンすることによって、データ量を抑え且つ多焦点での観察が可能になります。





実際にお申し込みいただく際は、多層スキャンをご希望の部分(1スポット5mm以内)を、カバーガラスの上から油性ペンで四角く囲んで指定していただけます。




バーチャルスライドのメリット

バーチャルスライドを導入することによるメリットは多岐にわたります。

標本のデジタルデータ化のイメージ・標本のデジタルデータベース化
標本をスライドガラスではなくデジタルデータとして管理でき、データベースとしての利便性を高めます。電子カルテと一括した管理も可能に。
・標本の管理精度の向上
標本をデジタルデータ化することにより、経年劣化・破損・紛失リスクを回避でき、管理精度の向上につながります。
・資料作成も簡便に
バーチャルスライド画像はjpeg形式で保存でき、PC上で容易に加工や編集を行えます。論文や学会用の資料作成を円滑にすすめることができます。

さらに弊社では、バーチャルスライドのクラウド型サービスの提供を行っております。
クラウド型サービスではバーチャルスライドデータのインターネット経由での観察が可能となり、学会でのカンファレンスやディスカッションの資料として、大学講義での教材用資料としてなど一層多目的に利用できるようになります。

以下のリンクにご利用いただいているお客様の例をご紹介しております。
 →お客様の声 新潟大学大学院

スライドスキャナ 〜NanoZoomer® S360〜について

弊社では2020年7月、病理組織検査で使用しておりますバーチャルスライドスキャナを、浜松ホトニクス社製の
『NanoZoomer® S360』に更新し、より高精細な細胞・組織の顕微鏡画像を取得できるようになりました。

浜松ホトニクス社 NanoZoomer 360スライドガラスを高速・高解像度にデジタルデータに変換するNanoZoomer®シリーズの最新鋭ハイエンドモデルであるS360は、スライドガラス1枚あたりに要するスキャン時間が40倍モード(顕微鏡対物レンズ40倍に相当)で約30秒。スライドガラスの搬送時間も含め一時間あたり82枚以上の高速処理を実現しました。

また最大360枚のスライドガラスを一度に自動処理することが可能で、スライドガラスをセットしスタートさせれば、自動で搬送・スキャンが行われます。

さらに、スキャン画像に対してフォーカスの合否を自動判定し、目視確認や再スキャンが必要なスライドを抽出する機能も搭載しております。

※弊社では『NanoZoomer® S360』とライカ社製スライドスキャナ『Leica SCN400』の2種計4台を保有しており、従来から使用しております『Leica SCN400』も引き続き稼動しております。


バナースペース

株式会社アマネセル

〒063-8611
北海道札幌市西区二十四軒1条7-35

TEL 011-641-6500
FAX 011-641-6767

アマネセルのHPはこちら株式会社アマネセル ホームページへのリンク