本文へスキップ

株式会社アマネセルでは、病理組織標本の作製を承っております。


 弊社HPはこちら
         株式会社アマネセル ホームページへのリンク

TEL. 011-641-6500

〒063-8611 北海道札幌市西区二十四軒1条7-35

特殊染色・免疫染色一覧LIST

以下をクリックしていただくと、各項目へジャンプします。
なお、掲載写真は全て弊社で染色・撮影したものです。
・特殊・酵素染色
・免疫染色

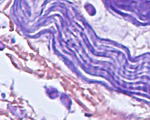
特殊・酵素染色

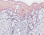
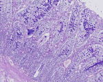
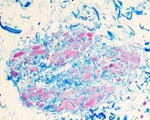
結合組織染色
エラスチカ・
ワンギーソン
(EVG)
アザン マッソン・
トリクローム
(MTC)
鍍銀 過ヨウ素酸
メセナミン銀
(PAM)
エラスチカ・ワンギーソン染色(EVG)の染色態度 アザン染色の染色態度 マッソン・トリクローム染色(MTC)の染色態度 鍍銀染色の染色態度 過ヨウ素酸メセナミン銀染色(PAM)の染色態度
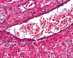
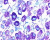
繊維素染色 アミロイド染色 核酸染色
リンタングステン酸
ヘマトキシリン
(PTAH)
コンゴー赤 メチル緑・
ピロニン
リンタングステン酸ヘマトキシリン染色(PTAH)の染色態度 コンゴー赤染色の染色態度 メチル緑・ピロニン染色の染色態度
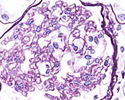
多糖類染色
PAS アルシアン青-PAS
(重染色)
トルイジン青
PAS染色の染色態度 アルシアン青-PAS重染色の染色態度 トルイジン青の染色態度
色素染色 内分泌細胞鑑別染色
フォンタナ・
マッソン
漂白法 ホール法 グリメリウス
フォンタナ・マッソン染色の染色態度 漂白法(過マンガン酸カリウム-シュウ酸法)の染色態度 ホール法の染色態度 グリメリウス法の染色態度
無機物染色 微量金属染色
コッサ ベルリン青 ロダニン
コッサ反応の染色態度 ベルリン青の染色態度 ロダニン法の染色態度
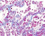
病原体染色
グラム チール・ネルゼン グロコット ワルチン・
スターリー法
グラム染色(グラム陽性菌)の染色態度 チール・ネルゼン染色(抗酸菌)の染色態度 グロコット染色(真菌)の染色態度 ワルチン・スターリー法(ピロリ菌)の染色態度
血液細胞染色 酵素染色
ギムザ ペルオキシダーゼ ASD-クロロエステラーゼ
ギムザ染色の染色態度 酵素抗体法(ペルオキシダーゼ陽性)の染色態度 ASD-クロロエステラーゼ法の染色態度

免疫染色 (当社保有抗体の詳細情報についてはこちら)

上皮系 非上皮系
Keratin(AE1/AE3) Keratin(WSS) CK7 Vimentin
Keratin(AE1/AE3)の染色態度 Keratin(WSS)の染色態度 CK7の染色態度 Vimentinの染色態度
血管内皮 神経
CD34 Factor[ S100 GFAP
CD34の染色態度 Factor[の染色態度 S100の染色態度 S100の染色態度 GFAPの染色態度
免疫グロブリン 内分泌系
IgG αSMA Desmin Insulin ChromograninA
IgGの染色態度 αSMAの染色態度 Desminの染色態度 Insulinの染色態度 ChromograninAの染色態度
リンパ球
CD3 CD20 BLA.36
CD3の染色態度 CD20の染色態度 BLA.36の染色態度
組織球 形質細胞
MAC387 HLA-DR Iba1 MUM1p
MAC387の染色態度 HLA-DRの染色態度 Iba1の染色態度 MUM1pの染色態度
特定臓器 病原体 癌関連
Inhibinα FIPV c-kit
Inhibinαの染色態度 FIPVの染色態度 c-kitの染色態度

バナースペース

株式会社アマネセル

〒063-8611
北海道札幌市西区二十四軒1条7-35

TEL 011-641-6500
FAX 011-641-6767

アマネセルのHPはこちら株式会社アマネセル ホームページへの